Cabinet du Dr Bianchi
Cabinet du Dr Coquelet Chirurgiens-dentistes Venelles
75 AV DE LA GRANDE BEGUDE, 13770 Venelles
+33 4 42 54 70 18
Cabinet du Dr Bianchi
Cabinet du Dr Coquelet Chirurgiens-dentistes Venelles

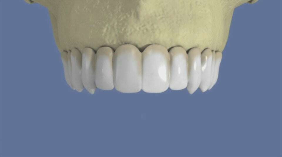
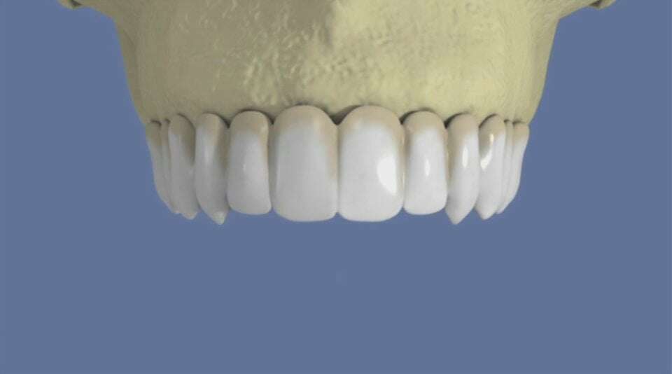
Maxillaire : bridge vissé sans fausse gencive


video-play-icon

Articles similaires

Création par Webdentiste

Connexion